Beyin Tümörü Belirtileri ve Tedavisi
Bu içerik, beyin tümörlerinin belirtileri, tanı yöntemleri ve tedavi seçenekleri hakkında kapsamlı bilgi sunmaktadır. Beyin tümörlerinin çeşitleri ve etkileri üzerinde durulurken, erken tanı ve uygun tedavi yöntemlerinin önemine vurgu yapılmaktadır. Bu bilgileri dikkate alarak sağlık profesyonellerine başvurmak hayati önem taşımaktadır.
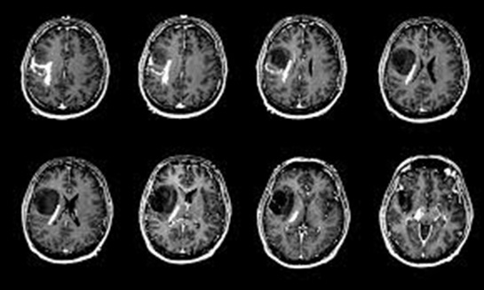
Beyin Tümörü Belirtileri ve TedavisiBeyin tümörü, beyinde veya beyincikte oluşan anormal hücre büyümeleri olarak tanımlanır. Bu tümörler iyi huylu (benign) veya kötü huylu (malign) olabilir. Beyin tümörleri, beynin işlevlerini etkileyerek çeşitli belirtilere yol açabilir. Bu makalede, beyin tümörlerinin belirtileri, tanı yöntemleri ve tedavi seçenekleri hakkında detaylı bilgi verilecektir. Beyin Tümörleri Nedir? Beyin tümörleri, beyin dokusunda oluşan anormal hücre gruplarıdır. Bu tümörler, beyin hücrelerinden (primer tümörler) veya vücudun diğer bölgelerinde oluşarak beyne yayılan hücrelerden (sekonder tümörler) kaynaklanabilir. Beyin tümörleri, büyüklüğü, yeri ve hücresel yapısına göre farklılık gösterir. Beyin Tümörlerinin Belirtileri Beyin tümörlerinin belirtileri, tümörün boyutuna, yerine ve tipine bağlı olarak değişkenlik gösterebilir. En yaygın belirtiler şunlardır:
Beyin Tümörlerinin Tanısı Beyin tümörlerinin tanısı genellikle aşağıdaki yöntemlerle konur:
Beyin Tümörlerinin Tedavisi Beyin tümörlerinin tedavisi, tümörün türüne, büyüklüğüne ve hastanın genel sağlık durumuna bağlı olarak değişir. Tedavi seçenekleri şunlardır:
Sonuç Beyin tümörleri, ciddi sağlık sorunlarına yol açabilen hastalıklardır. Belirtilerin erken fark edilmesi ve doğru tanı yöntemleriyle hastalığın seyrinin kontrol altına alınması mümkündür. Tedavi yöntemleri, bireysel ihtiyaçlara göre belirlenmeli ve multidisipliner bir yaklaşım benimsenmelidir. Beyin tümörü belirtileri gözlemlendiğinde derhal bir sağlık kuruluşuna başvurmak hayati önem taşımaktadır. Ekstra Bilgiler |






































Beyin tümörü ile ilgili bilgileri okuduktan sonra, bu durumun ne kadar karmaşık ve korkutucu olduğunu anlıyorum. Özellikle belirtiler arasında yer alan baş ağrısı ve mide bulantısının sabah saatlerinde daha yoğun olması, insanı oldukça endişelendirebilir. Bu tür bir durumla karşılaşan birinin, erken teşhisin önemini bilmesi çok kritik değil mi? Yine de, beyin tümörlerinin tedavi yöntemlerinin çeşitliliği ve destek tedavilerinin varlığı, bu süreçte biraz olsun umut verici görünüyor. Peki, böyle bir durumla karşılaşan birisi, tedavi sürecinde nasıl bir destek almalı?
Beyin Tümörü ve Erken Teşhis
Evet, beyin tümörleri karmaşık ve korkutucu durumlar olabilir. Belirtilerin özellikle sabah saatlerinde daha yoğunlaşması, kişiyi endişelendirebilir. Erken teşhis gerçekten çok kritik; çünkü bu, tedavi sürecinin başlangıcında önemli bir avantaj sağlayabilir. Erken dönemde müdahale edilmesi, tedavi seçeneklerini artırabilir ve yaşam kalitesini yükseltebilir.
Tedavi Sürecinde Destek
Böyle bir durumla karşılaşan birinin, tedavi sürecinde hem fiziksel hem de duygusal destek alması oldukça önemlidir. Aile ve arkadaş desteği, moral ve motivasyon açısından çok değerlidir. Ayrıca, psikolojik destek almak, duygusal yükün hafifletilmesine yardımcı olabilir. Destek grupları da bu süreçte faydalı olabilir; çünkü benzer deneyimler yaşamış insanlarla bir araya gelmek, yalnız olmadığını hissettirebilir. Ayrıca, sağlık profesyonelleri ile sürekli iletişimde kalmak ve onların önerilerine uymak, tedavi sürecini daha sağlıklı bir şekilde geçirmeye yardımcı olacaktır.