İyi Huylu Beyin Tümörü Belirtileri ve Tedavisi
İyi huylu beyin tümörleri, yavaş büyüyen ve çevre dokulara yayılma eğilimi göstermeyen oluşumlardır. Genellikle cerrahi müdahale ile tedavi edilebilirler ve prognozları olumlu yöndedir. Belirtilerini bilmek ve erken tanı için düzenli kontroller yaptırmak, hastaların yaşam kalitesini artırır.
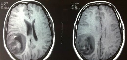
İyi huylu beyin tümörleri, genellikle yavaş büyüyen ve çevre dokulara yayılma eğilimi göstermeyen tümörlerdir. Bu tür tümörler, genellikle cerrahi müdahale ile tedavi edilebilir ve çoğu durumda prognoz olumlu olmaktadır. Ancak, belirtileri ve tedavi yöntemleri hakkında bilgi sahibi olmak, hastaların ve yakınlarının bilinçlenmesi açısından büyük önem taşımaktadır. İyi Huylu Beyin Tümörü Belirtileri İyi huylu beyin tümörlerinin belirtileri, tümörün büyüklüğüne ve konumuna bağlı olarak değişiklik göstermektedir. Aşağıda, bu tümörlerin yaygın belirtileri sıralanmıştır:
Tanı Yöntemleri İyi huylu beyin tümörlerinin tanısı, genellikle aşağıdaki yöntemler kullanılarak konulmaktadır:
Tedavi Yöntemleri İyi huylu beyin tümörlerinin tedavi yöntemleri, tümörün türüne, boyutuna, konumuna ve hastanın genel sağlık durumuna bağlı olarak değişir. Genel olarak kullanılan tedavi yöntemleri şunlardır:
Prognoz ve İzleme İyi huylu beyin tümörlerinin prognozu genellikle olumludur. Cerrahi müdahale sonrası hastaların çoğu, kaliteli bir yaşam sürdürebilmektedir. Ancak, tümörlerin yeniden oluşumunu önlemek amacıyla düzenli takip ve izleme önemlidir. Bu süreçte, hastaların doktorlarıyla işbirliği içinde olmaları, belirtilerin izlenmesi ve gerekli durumlarda müdahale edilmesi gerekmektedir. Sonuç İyi huylu beyin tümörleri, genellikle tedavi edilebilir ve hastaların yaşam kalitesini olumsuz etkilemeyen tümörlerdir. Ancak, belirtilerinin farkında olmak ve erken tanı için düzenli kontroller yapmak, hastaların sağlığı açısından kritik öneme sahiptir. Beyin tümörleri hakkında farkındalığın artırılması, hasta ve yakınlarının bilinçlenmesi açısından büyük önem taşımaktadır. Ekstra Bilgiler İyi huylu beyin tümörlerinin çeşitleri arasında meningiom, schwannom ve hipofiz adenomları gibi türler bulunmaktadır. Bu tümörlerin her biri, farklı özelliklere ve tedavi gereksinimlerine sahip olabilir. Ayrıca, genetik faktörler, çevresel etmenler ve yaşam tarzı, beyin tümörlerinin gelişiminde rol oynayabilir. Dolayısıyla, sağlıklı bir yaşam tarzı benimsemek, bu tür hastalıkların önlenmesinde önemli bir adım olabilir. |






































Peki iyi huylu beyin tümörü teşhisi konduğunda ameliyat her zaman gerekli midir? Yoksa kemoterapi ve radyoterapi gibi yöntemler de etkili olabilir mi?
Sevgili Uluçkan,
İyi huylu beyin tümörleri durumunda tedavi yöntemi tümörün yerine, büyüklüğüne ve hastanın genel sağlık durumuna bağlı olarak değişebilir. Ameliyat, tümörün tamamen çıkarılması amacıyla sıklıkla tercih edilen bir yöntemdir, ancak her zaman gerekli değildir. Kemoterapi ve radyoterapi gibi yöntemler de tedavi planının bir parçası olabilir. Özellikle tümörün cerrahi olarak çıkarılması zor yerlerde bulunması durumunda bu yöntemler tercih edilebilir. Doktorunuzla detaylı bir şekilde görüşerek, en uygun tedavi yöntemini belirlemek önemlidir.
Sağlıklı günler dilerim.