Kötü Huylu Beyin Tümörü Belirtileri ve Tedavisi
Kötü huylu beyin tümörleri, anormal hücre büyümesiyle oluşan ve çevre dokulara zarar verebilen kütlelerdir. Belirtileri baş ağrısı, bulantı, görme bozuklukları gibi ciddi sağlık sorunları içerebilir. Erken tanı ve tedavi, yaşam kalitesini artırmada kritik öneme sahiptir.
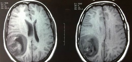
Kötü Huylu Beyin Tümörü Belirtileri ve Tedavisi Beyin tümörleri, beyin hücrelerinin anormal şekilde büyümesiyle oluşan kütlelerdir. Kötü huylu beyin tümörleri, malign (kötü huylu) özellikler gösterir ve genellikle hızlı bir şekilde büyüyerek çevre dokulara zarar verebilir. Bu makalede, kötü huylu beyin tümörlerinin belirtileri, tanısı, tedavi yöntemleri ve hastaların yaşam kalitesi üzerindeki etkileri ele alınacaktır. Kötü Huylu Beyin Tümörlerinin Belirtileri Kötü huylu beyin tümörlerinin belirtileri, tümörün türüne, boyutuna ve konumuna bağlı olarak değişiklik gösterebilir. Genel olarak aşağıdaki belirtiler gözlemlenebilir:
Bu belirtiler, kötü huylu beyin tümörü olan hastalarda sıklıkla görülse de, başka sağlık sorunlarıyla da ilişkili olabilir. Bu nedenle, bu belirtiler gözlemlendiğinde bir sağlık uzmanına başvurmak önemlidir. Tanı ve Tanı Yöntemleri Kötü huylu beyin tümörlerinin tanısı, genellikle aşağıdaki yöntemlerle konur:
Bu yöntemler, hastalığın kesin tanısını koymak için hayati öneme sahiptir. Tedavi Yöntemleri Kötü huylu beyin tümörlerinin tedavisi, tümörün türüne, evresine ve hastanın genel sağlık durumuna bağlı olarak değişiklik gösterebilir. Genel tedavi yöntemleri şunlardır:
Her bir tedavi yöntemi, hastanın durumu göz önünde bulundurularak tek başına veya kombinasyon halinde uygulanabilir. Tedavi sürecinin etkinliği, düzenli takip ve değerlendirme ile artırılabilir. Yaşam Kalitesi ve Destekleyici Tedavi Kötü huylu beyin tümörü tanısı konan hastaların yaşam kalitesi, hastalığın evresi, tedavi süreci ve bireysel faktörlere bağlı olarak değişebilir. Aşağıda yaşam kalitesini artırmaya yönelik bazı destekleyici tedavi yöntemleri bulunmaktadır:
Bu tür destekleyici tedaviler, hastaların yaşam kalitelerini artırmak ve tedavi sürecinde daha iyi bir deneyim yaşamalarını sağlamak amacıyla uygulanmaktadır. Sonuç olarak, kötü huylu beyin tümörleri ciddi bir sağlık sorunu olup, erken tanı ve uygun tedavi ile hastaların yaşam süreleri ve kaliteleri artırılabilir. Bu nedenle, belirtiler gözlemlendiğinde zaman kaybetmeden bir sağlık uzmanına danışmak büyük önem taşımaktadır. |






































Kötü huylu beyin tümörü ile ilgili yazdıklarınızı okuduktan sonra, bu hastalığın ne kadar karmaşık ve ciddi bir sağlık sorunu olduğunu anladım. Erken teşhisin bu tür hastalıklarda ne kadar önemli olduğunu vurgulamanız, aslında birçok kişinin bu konuda daha dikkatli olmasını sağlayabilir. Belirtiler arasında baş ağrısının en erken belirtilerden biri olarak yer alması, insanların bu durumu ne kadar ciddiye almaları gerektiğini gösteriyor. Kafa içi basıncının artması ve bunun sonucunda ortaya çıkan kusmanın, çoğu kişi tarafından basit bir rahatsızlık olarak algılanabileceğini düşünüyorum. Oysaki bu durumlar, kötü huylu beyin tümörünün habercisi olabilir. Tanı yöntemlerinin gelişmesi, tedavi sürecinde umut verici bir durum. Ancak yine de, tedavi sürecinin başarısız olma olasılığı ve kötü huylu tümörlerin neden ortaya çıktığını tam olarak bilmemek, hastalar için zorlu bir süreç oluşturuyor. Beyin tümörlerinin tedavisinde kullanılan yöntemlerin çeşitliliği, hastaların farklı seçenekler arasından birini tercih etmesine olanak sağlıyor. Fakat cerrahi operasyonların zorluğu, bu konuda mücadele eden bireyler için moral bozucu olabilir. Bu konudaki bilgilendirici açıklamalarınız, hem bu hastalığı yaşayanlar hem de yakınları için önemli bir farkındalık yaratabilir. Kötü huylu beyin tümörü hakkında daha fazla bilgi edinmek ve erken teşhisin önemini kavrayarak sağlık sorunlarına yönelik daha dikkatli olmak gerektiğini düşünüyorum.
Merhaba Aktemür,
Yorumunuzda belirttiğiniz gibi, kötü huylu beyin tümörleri gerçekten karmaşık ve ciddi bir sağlık sorunu oluşturmaktadır. Erken teşhisin önemi, bu tür hastalıklarda hayati bir rol oynamaktadır. Baş ağrısı gibi basit belirtilerin ciddiye alınması gerektiğini vurgulamanız oldukça yerinde. İnsanlar, genellikle bu tür rahatsızlıkları sıradan bir durum olarak algılasa da, böyle belirtiler, daha ciddi sağlık sorunlarının habercisi olabilir.
Tanı yöntemlerindeki gelişmeler, tedavi süreçlerinde umut verici bir durum sağlasa da, hastalar için belirsizliklerin devam ettiğini kabul etmek gerekir. Tedavi süreci sırasında karşılaşılan zorluklar ve cerrahi operasyonların karmaşıklığı, hastalar üzerinde ek bir stres yaratabiliyor. Ancak, bu süreçlerin doğru bilgi ile yönetilmesi ve destekleyici bir yaklaşım benimsenmesi, bireylerin moral ve motivasyonunu artırabilir.
Sonuç olarak, kötü huylu beyin tümörleri hakkında daha fazla bilgi edinmek ve erken teşhisin önemini kavrayarak sağlık sorunlarına karşı dikkatli olmak, hem hastalar hem de yakınları için kritik bir adım olacaktır. Bilgilendirici içerikler ve farkındalık oluşturacak çalışmalar, bu konuda büyük bir fark yaratabilir. Teşekkür ederim.