Beyinde Kitle Belirtileri ve Tedavisi

Beyinde kitle, çeşitli nedenlerle oluşan anormal hücresel büyümeleri ifade eder ve belirtileri, tanı yöntemleri ve tedavi seçenekleri hakkında kapsamlı bilgi sunulmaktadır. Bu durumun erken teşhisi, yaşam kalitesini artırmak açısından büyük önem taşır.
Beyinde Kitle Belirtileri ve Tedavisi
08 Ocak 2026
Beyinde Kitle Belirtileri ve Tedavisi

Beyinde kitle, beynin içinde veya üzerinde oluşan anormal hücresel büyümeleri ifade eder. Bu yapılar, tümörler, kanamalar veya enfeksiyonlar gibi çeşitli nedenlerden kaynaklanabilir. Beyin kitlelerinin tanınması ve tedavisi, hastanın yaşam kalitesini önemli ölçüde etkileyebilir. Bu makalede, beyin kitlelerinin belirtileri, tanı yöntemleri ve tedavi seçenekleri ayrıntılı bir şekilde ele alınacaktır.

Beyinde Kitle Belirtileri

Beyinde kitle oluşumunun belirtileri, kitlenin büyüklüğüne, konumuna ve tipine bağlı olarak değişkenlik gösterebilir. Genel olarak dikkat edilmesi gereken belirtiler şunlardır:
  • Baş ağrısı: Özellikle sabahları daha belirgin hale gelen ve zamanla artış gösteren baş ağrıları.
  • Bulantı ve kusma: Özellikle sabahları görülen ve kontrol altına alınamayan bulantı ve kusma nörolojik bir soruna işaret edebilir.
  • Görme veya işitme sorunları: Görme alanında kayıplar, çift görme veya işitme kaybı gibi belirtiler.
  • Hafıza ve bilişsel işlevlerde değişiklikler: Unutkanlık, dikkat dağınıklığı veya mantık yürütme zorluğu.
  • Motor becerilerde zayıflama: Kas gücünde azalma, koordinasyon bozuklukları veya denge sorunları.
  • Değişen ruh hali ve davranışlar: Kişilik değişiklikleri, depresyon veya anksiyete belirtileri.

Beyinde Kitle Tanı Yöntemleri

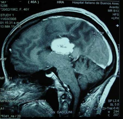
Beyinde kitle tanısı, genellikle bir dizi görüntüleme testi ve nörolojik muayene ile konulur. Bu süreçte kullanılan yaygın yöntemler şunlardır:
  • Manyetik Rezonans Görüntüleme (MRG): Beynin detaylı görüntülerini sağlayarak kitlelerin boyutunu ve konumunu belirler.
  • Bilgisayarlı Tomografi (BT): Beyindeki kitlelerin hızlı bir şekilde değerlendirilmesi için kullanılır.
  • Ultrasonografi: Özellikle çocuklarda ve fetüslerde beyin kitlelerini değerlendirmek için kullanılabilir.
  • Biyopsi: Kitlelerin kesin tanısını koymak için yapılır; anormal hücrelerin alınması gerekir.

Beyinde Kitle Tedavi Seçenekleri

Beyinde kitle tedavisi, kitlenin tipine, boyutuna ve hastanın genel sağlık durumuna göre değişiklik gösterir. Tedavi seçenekleri şunları içerebilir:
  • Cerrahi müdahale: Kitlelerin çıkarılması için cerrahi yöntemler uygulanabilir. Bu, kitlenin boyutuna ve konumuna bağlı olarak değişir.
  • Radyoterapi: Tümörlerin küçültülmesi veya yok edilmesi amacıyla yüksek enerjili ışınların kullanıldığı bir yöntemdir.
  • Kemoterapi: Kanserli hücrelerin büyümesini engellemek ve yok etmek için kullanılan ilaç tedavisidir.
  • İzleme: Bazı durumlarda, kitlelerin büyüme hızı yavaşsa veya belirgin semptomlara neden olmuyorsa, izleme stratejisi uygulanabilir.

Ekstra Bilgiler

Beyinde kitle oluşumunu engellemek için sağlıklı yaşam tarzı alışkanlıkları benimsemek önemlidir. Düzenli fiziksel aktivite, dengeli beslenme, yeterli uyku ve stres yönetimi bu alışkanlıklar arasında yer almaktadır. Ayrıca, genetik yatkınlık veya aile öyküsü gibi risk faktörlerinin bilinmesi, erken tanı ve tedavi için kritik öneme sahiptir. Beyinde kitle belirtileri görüldüğünde, zaman kaybetmeden bir sağlık kuruluşuna başvurmak gerekmektedir. Erken tanı, tedavi başarısını artırma potansiyeline sahiptir ve hastanın genel yaşam kalitesini olumlu yönde etkileyebilir.

Sonuç olarak, beyin kitleleri ciddiye alınması gereken sağlık sorunlarıdır. Belirtilerinin farkında olmak ve gerektiğinde profesyonel yardım almak, hayat kurtarıcı bir adım olabilir. Beyin kitleleri ile ilgili daha fazla bilgi ve destek almak için bir nöroloji uzmanına danışmak önerilir.

Yeni Soru Sor / Yorum Yap
şifre
Sizden Gelen Sorular / Yorumlar
Soru işareti ikonu
Efahim 12 Temmuz 2024 Cuma

Beynimde kitle olduğunu öğrendiğimde ilk belirti olarak baş ağrısı yaşadım. Bu çok yaygın bir belirti mi? Tedavi sürecinde hangi adımları izlemem gerekecek?

1. Cevap
cevap
Admin 12 Temmuz 2024 Cuma

Efahim, baş ağrısı beyin kitlesinin yaygın belirtilerinden biridir. Bu tür bir belirti yaşamak, kitle varlığının bir habercisi olabilir, ancak her baş ağrısının bu anlama gelmediğini de unutmamak gerekir. Tedavi sürecinde, öncelikle bir nörolog veya beyin cerrahı tarafından detaylı bir inceleme ve muayene yapılması gerekir. Ardından, genellikle beyin MRı veya BT taraması gibi görüntüleme yöntemleriyle kitlenin boyutu ve konumu belirlenir. Tedavi seçenekleri arasında cerrahi müdahale, radyoterapi veya kemoterapi bulunabilir. Doktorunuz size en uygun tedavi planını belirleyecektir. Geçmiş olsun, umarım en kısa sürede sağlığınıza kavuşursunuz.

Çok Okunanlar
Haber Bülteni
Popüler İçerik
Beyin Görevi Nelerdir?
Beyin Görevi Nelerdir?
Beyin İltihabı Belirtileri ve Tedavisi
Beyin İltihabı Belirtileri ve Tedavisi
Beyin Pili Kullanımı ve Faydaları Nelerdir?
Beyin Pili Kullanımı ve Faydaları Nelerdir?
Beyin Emarı
Beyin Emarı
Beyin Erimesi Belirtileri ve Tedavisi
Beyin Erimesi Belirtileri ve Tedavisi
Güncel
Beyin Sıvısı
Beyin Sıvısı
Güncel
Beyin Cinsiyeti
Beyin Cinsiyeti
;