Beyinde Kist Belirtileri ve Tedavisi

Beyinde kist, genellikle zararsız sulu keseciklerdir ancak bazı durumlarda belirti verebilirler. Bu yazıda, kistlerin belirtileri, tanı yöntemleri ve tedavi seçenekleri ele alınacaktır. Erken teşhis ve uygun yönetim, sağlık açısından büyük önem taşır.
Beyinde Kist Belirtileri ve Tedavisi
08 Ocak 2026

Beyinde Kist Belirtileri Ve Tedavisi


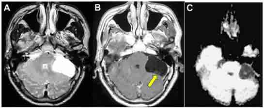
Beyinde kist, genellikle sıvı dolu keseciklerin oluşumunu ifade eden bir durumdur. Bu kistler, çeşitli nedenlerden kaynaklanabilir ve çoğunlukla belirti vermeden varlıklarını sürdürebilirler. Ancak bazı durumlarda, bu kistler baş ağrısı, görme bozuklukları veya nörolojik bulgular gibi belirtilerle kendini gösterebilir. Bu makalede, beyinde kistlerin belirtileri, tanı yöntemleri ve tedavi seçenekleri üzerinde durulacaktır.

Beyinde Kist Nedir?

Beyinde kist, beyin dokusunda sıvı dolu keseciklerin oluşması anlamına gelir. Bu kistler genellikle zararsızdır ve birçok kişi hayatı boyunca bu kistlerle yaşar. Ancak bazı kist türleri, büyüyerek komşu beyin dokusuna baskı yapabilir ve çeşitli sağlık sorunlarına yol açabilir. Beyindeki kistler genellikle iki ana kategoriye ayrılır:
  • Epidermoid Kistler: Deri hücrelerinden oluşan ve genellikle doğuştan gelen kistlerdir.
  • Araknoid Kistler: Beyin zarları arasında oluşan ve genellikle sıvı birikiminden kaynaklanan kistlerdir.

Beyinde Kist Belirtileri

Beyinde kistlerin belirtileri, kistin boyutuna, konumuna ve türüne bağlı olarak değişiklik gösterebilir. Genel olarak, aşağıdaki belirtiler gözlemlenebilir:
  • Baş ağrıları: Özellikle sabahları artış gösterebilir.
  • Görme bozuklukları: Bulanık görme veya çift görme gibi problemler yaşanabilir.
  • Denge problemleri: Yürürken dengesizlik hissi oluşabilir.
  • Hafıza sorunları: Kısa süreli hafıza kaybı veya konsantrasyon zorluğu yaşanabilir.
  • Nöbetler: Kistin büyümesi beyin aktivitesini etkileyebilir ve nöbet geçirme riskini artırabilir.

Tanı Yöntemleri

Beyinde kist tanısı genellikle görüntüleme yöntemleri kullanılarak konulur. Bu yöntemler arasında en yaygın olanları şunlardır:
  • Manyetik Rezonans Görüntüleme (MRG): Beyindeki kistlerin detaylı bir şekilde görüntülenmesini sağlar.
  • Bilgisayarlı Tomografi (BT): Kistin boyutu ve konumunu değerlendirmek için kullanılabilir.
Doktor, hastanın belirtilerine ve tıbbi geçmişine dayanarak uygun görüntüleme yöntemini seçecektir.

Tedavi Seçenekleri

Beyinde kist tedavisi, kistin türüne, boyutuna ve hastanın genel sağlık durumuna bağlı olarak değişir. Tedavi seçenekleri arasında şunlar yer alabilir:
  • Gözlem: Eğer kist küçükse ve belirti vermiyorsa, doktorlar genellikle düzenli takip önerebilir.
  • İlaç tedavisi: Baş ağrısı veya nöbet gibi belirtilerin kontrol altına alınması için ilaçlar kullanılabilir.
  • Cerrahi müdahale: Eğer kist büyükse veya ciddi belirtilere yol açıyorsa, cerrahi olarak kistin alınması gerekebilir.

Sonuç

Beyinde kist, birçok insanda görülebilen yaygın bir durumdur. Çoğu durumda, kistler zararsızdır ve herhangi bir tedavi gerektirmeyebilir. Ancak, belirtiler ortaya çıktığında veya kistin büyümesi durumunda, tıbbi müdahale gerekebilir. Kistlerin yönetimi, uzman bir sağlık profesyoneli tarafından yapılmalıdır. Her bireyin durumu farklı olduğundan, kişiye özel bir tedavi planı oluşturulması önemlidir. Ekstra bilgiler: Beyinde kistlerin oluşumuna genetik faktörler, travmalar veya enfeksiyonlar gibi etkenler de yol açabilir. Bu nedenle, bireylerin sağlık geçmişlerini ve aile öykülerini göz önünde bulundurmaları önemlidir. Düzenli check-up ve nörolojik değerlendirmeler, beyinde kist varlığının erken tespiti açısından kritik bir rol oynamaktadır.

Yeni Soru Sor / Yorum Yap
şifre
Sizden Gelen Sorular / Yorumlar
Soru işareti ikonu
Mustafa Mert 11 Ağustos 2024 Pazar

Beyinde kist olduğu durumunu yaşayan biri olarak, bu konuda bilgi sahibi olmak gerçekten çok önemli. Özellikle belirtilerinin başlangıçta çok bariz olmaması, insanı büyük bir belirsizlik içinde bırakabiliyor. Gözlerdeki bulanıklık, baş ağrıları ve hareket kabiliyetindeki zorluklar, çoğu zaman başka sağlık sorunlarıyla karıştırılabiliyor. Bu yüzden, bu belirtileri yaşarken hemen bir sağlık kuruluşuna başvurmanın ne kadar elzem olduğunu düşünüyorum. Kistlerin iyi huylu olabileceği bilgisi rahatlatıcı olsa da, büyüme gösterdiklerinde ciddi sağlık sorunlarına yol açabilecekleri gerçeği de göz ardı edilmemeli. Erken teşhis ve tedavi yöntemlerinin etkisi, hastaların yaşam kalitesini ve süresini belirlemede ne kadar kritik? Bu konuda daha fazla bilgi edinmek ve bir uzman görüşü almak kesinlikle önemli.

1. Cevap
cevap
Admin 11 Ağustos 2024 Pazar

Merhaba Mustafa Mert,

Yorumunuzda belirttiğiniz duygu ve düşünceler, gerçekten önemli bir konuyu ele alıyor. Beyinde kist gibi durumların yaşanması, kişinin hayatını derinden etkileyebilen bir süreçtir. Belirtilerin başlangıçta fark edilmemesi, çoğu insanı endişeye sürükleyebilir. Bu nedenle, belirtilere dikkat etmek ve gerektiğinde sağlık kuruluşlarına başvurmak son derece önemlidir.

Erken Teşhis ve Tedavi konusuna gelince, gerçekten de bu süreçler hastaların yaşam kalitesini ve süresini belirlemede kritik bir rol oynamaktadır. Kistlerin iyi huylu olabileceği düşüncesi, bir nebze olsun rahatlatabilir; ancak, büyüme gösterdiklerinde ortaya çıkabilecek riskler göz önünde bulundurulmalıdır. Uzman görüşü almak, hem doğru bilgi edinmek hem de uygun bir tedavi süreci başlatmak açısından faydalı olacaktır.

Sağlıkla ilgili her durumda bilgi sahibi olmak ve doğru adımlar atmak, hastaların yaşamlarını olumlu anlamda etkilemektedir. Bu konuda daha fazla bilgi edinme çabanız gerçekten takdire şayan. Umarım sağlığınız en kısa sürede düzelir.

Çok Okunanlar
Haber Bülteni
Popüler İçerik
Beyin Görevi Nelerdir?
Beyin Görevi Nelerdir?
Beyin İltihabı Belirtileri ve Tedavisi
Beyin İltihabı Belirtileri ve Tedavisi
Beyin Pili Kullanımı ve Faydaları Nelerdir?
Beyin Pili Kullanımı ve Faydaları Nelerdir?
Beyin Emarı
Beyin Emarı
Beyin Erimesi Belirtileri ve Tedavisi
Beyin Erimesi Belirtileri ve Tedavisi
Güncel
Beyin Sıvısı
Beyin Sıvısı
Güncel
Beyin Cinsiyeti
Beyin Cinsiyeti
;